metadata

Résultats

RÉSULTATS ENFANTS ET ADOLESCENTS

Études comparatives de l’efficacité des différents corsets chez l’adolescent

RÉSULTATS CHEZ L'ADOLESCENT
Type de corset/Effet sur la scoliose TLSO6 Providence6 SpineCor3
Correction/Stabilisation  15 % 31 % 59 %
Progression à plus de 45° 85 % 69 % 41 %
Progression de plus de 6° 56 % 45 % 1 %
Progression jusqu'en chirurgie 79 % 60 % 23 %


Succès thérapeutique dans près de 89% de tous les cas. Succès = amélioration ou stabilisation de la courbure (moins de 5° de progression). Avec les nouveaux critères de la Scoliosis Research Society (SRS) pour les groupes à haut risque = 59 % de succès thérapeutiques. Haut risque = angle de Cobb 25° à 40° et/ou Risser 0-3 ou préménarche (avant les premières règles).

Le TLSO, ou corset rigide Thoraco-Lombo-Sacral (Orthosis), le plus courant en Amérique du Nord étant de type Boston, est généralement porté 23 heures par jour. Le Providence est un corset rigide porté la nuit parce qu’il ne permet pas de se mouvoir normalement. Utilisé seulement pour les courbes moins sévères.

Adolescente scoliotique avant et après SpineCor®

Colonne vertébrale scoliotique d’une adolescente, avant le traitement SpineCor® et à la fin du sevrage après trois ans de port quotidien. Les radiographies démontrent une correction spectaculaire.

Résultat

Colonne vertébrale de l'adolescente avant SpineCor®

 

Résultat

Colonne vertébrale de l'adolescente avec SpineCor®

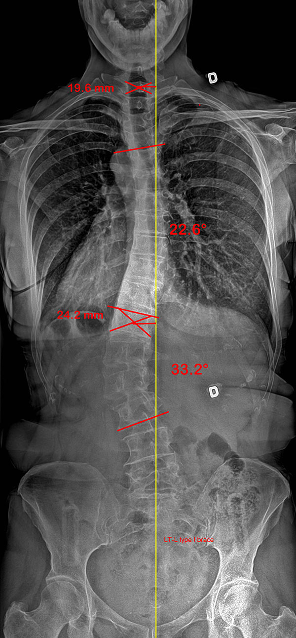
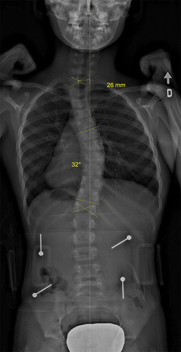
Étude de cas d’une autre adolescente avec une scoliose

Le cas d'une adolescente âgée de 12 ans et 9 mois (Risser 0) au début du traitement.

Résultat

 

Résultat

Cette jeune fille, dont la photographie montre une difformité importante du dos, souffre d’une scoliose déjà sévère dont la courbe atteint 42° (angle de Cobb) au début du traitement.

Résultat

 

Résultat

 

Résultat

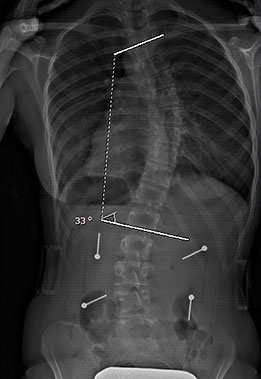
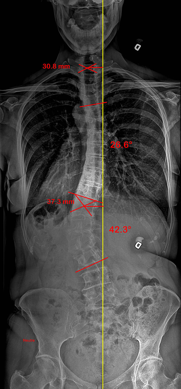
Dès l'installation du SpineCor®, on note une réduction de la courbure grâce à l'action dynamique des bandes élastiques malgré une scoliose très importante.

Après 30 mois de traitement, la scoliose est stabilisée à 33° et la croissance terminée. Il est normal avec une courbure d'amplitude aussi marquée de remarquer une légère perte de correction par rapport au premier jour du traitement, car la colonne vertébrale de la patiente a continué de grandir durant le traitement et la courbe d'évoluer. Quand on débute plus jeune le traitement sur des scolioses de moindre amplitude, il est souvent possible d'éviter ces phases d'aggravation.

Mais au final, la dernière photographie prise après le sevrage du traitement montre clairement que la posture de la jeune fille présente un aspect beaucoup plus normal et symétrique qu'au début. Grâce à SpineCor®, l'esthétique de son dos s'en trouve améliorée encore plus que la correction réelle de sa courbe, ce qui aura inévitablement un effet positif direct sur son image de soi.

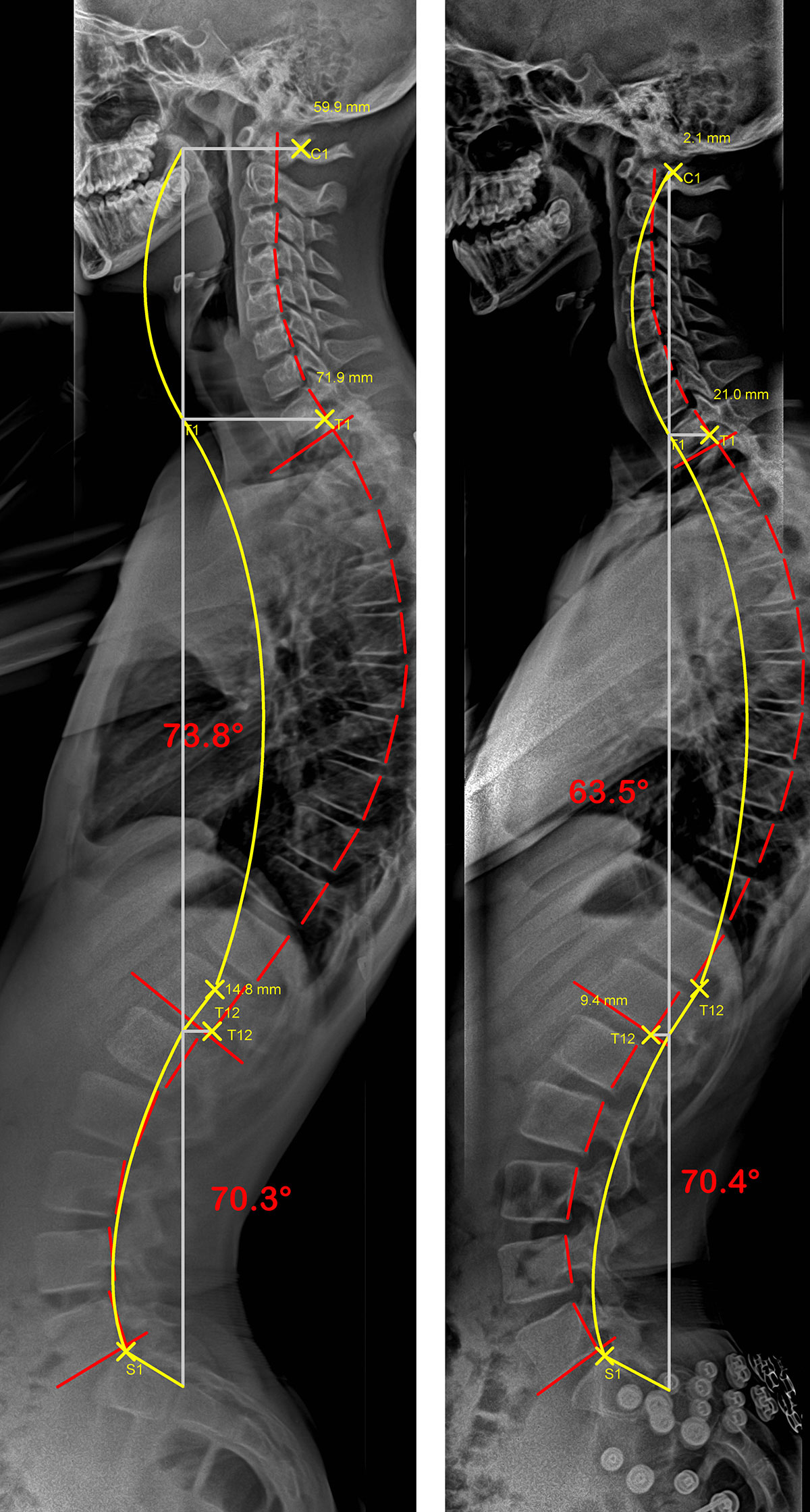
Le cas d’une adolescente avec une hypercyphose, sans et avec SpineCor®.

On remarque sur les radiographies que le simple fait de porter SpineCor® réduit la courbure de la colonne vertébrale d’environ 10° et améliore considérablement son alignement postural global car la ligne jaune représente l’idéal et la rouge le profil de la colonne vertébrale de la patiente.

Résultat

RÉSULTATS ADULTES

Adulte sans et avec SpineCor®

Colonne vertébrale d’une patiente scoliotique adulte, sans et avec SpineCor®

Résultat

Colonne vertébrale avant SpineCor®

 

Résultat

Colonne vertébrale avec SpineCor®

 
On remarque que, bien que la courbe n’ait pas changé de façon très significative, son alignement postural global est nettement amélioré par rapport à la ligne jaune centrale.

 
Colonne vertébrale d’un adulte souffrant d’hypercyphose, sans et avec SpineCor®

Résultat

 
Radiographies de profil d’un patient présentant une hypercyphose. La ligne jaune représente la courbure idéale et la rouge, celle formée par la colonne vertébrale du patient. Dans la seconde radiographie où le patient porte son SpineCor®, on remarque une amélioration significative de la courbe anormale.